У Харкові дівчинка віком 1 рік потрапила до лікарні, проковтнувши іграшку, особливо небезпечну для маленьких дітей. В результаті лікарі успішно провели складну операцію і витягли сторонні предмети з кишківника.
Про це 13 січня передали в Харківській обласній дитячій клінічній лікарні №1 на сторінці в Facebook, – пише РБК-Україна.
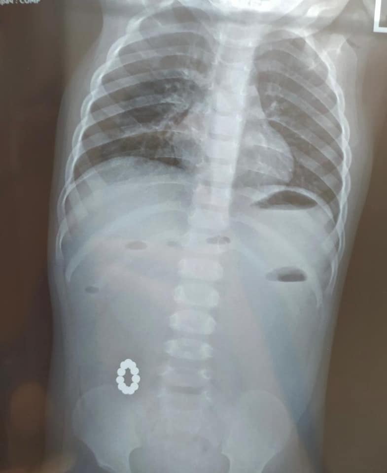
До медустанови маленький пацієнт потрапив з підозрою на харчове отруєння, але при діагностиці виявили, що в кишківнику знаходяться магніти типу “Неокуб”, які з’єдналися між собою і склалися в кільце.
“На цей раз вони привели до тяжкої хірургічної патології – непрохідності кишківника! Ми вже не одноразово звертали увагу батьків на ці небезпечні іграшки особливо для малечі!” – наголошується в публікації.
Дитячі хірурги, лікар інтерн, дитячі анестезіолог і операційні сестри успішно виконали складне оперативне втручання з видалення сторонніх тіл, звільнивши кишкові шляхи.
Медики вчергове звернулися до батьків із закликом бути пильними при догляді за дітьми, і відразу ж звертатися до лікарів-фахівців, якщо помітили щось незвичайне з дитиною.
Також в лікарні опублікували фото рентгена і самої іграшки, яку витягли після операції.


Харківські лікарі врятували маленьку дитину, яка проковтнула небезпечну іграшку (фото: facebook.com/odkbkharkiv)
Нагадаємо, іграшки конструктори й головоломки “Неокуб” складаються з маленьких кулястих магнітів, які в разі випадкового ковтання дитиною можуть привести до перекриття дихальних шляхів і удушення або асфіксії, утворенню виразок в кишковій порожнині.

























